Surgery often brings rare and life-threatening conditions to light. One such unusual complication is a hepatico-broncho-pleural fistula (HBPF) — a condition where an abscess in the liver ruptures through the diaphragm into the pleural cavity and lung. If untreated, this can lead to severe infection, respiratory failure, and even death.
Here, I present a rare and challenging case of a young middle-aged male with an amoebic liver abscess that ruptured into the pleural cavity and lung, successfully treated with advanced surgical intervention at my center in Hubli.
Patient Case Presentation
A middle-aged gentleman arrived with:
Severe breathlessness
Persistent cough
Coughing up blood-stained, "anchovy sauce-like" material
He had a history of abdominal pain and loose motions, which indicated a previous amoebic infection.
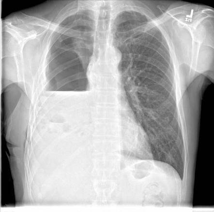
Diagnosis and Findings
Investigations revealed:
A large amoebic liver abscess
Loculated pleural effusion
Communication of the abscess through the diaphragm into the pleural cavity
Involvement of the lower lobe of the lung, which had become diseased
Diagnosis: Hepatico-Broncho-Pleural Fistula secondary to ruptured amoebic liver abscess

Initial Stabilization
The patient was initially managed with an Intercostal Drainage (ICD) tube, which helped drain the pleural pus and stabilize his condition.
Definitive Surgical Treatment
A definitive surgery was then planned and performed:
Thoracotomy with pleural decortication
Right lower lobectomy (removal of diseased lung lobe)
Debridement of the liver abscess cavity
Repair of the diaphragmatic perforation
Drainage of abdominal and pleural cavities
Recovery and Outcome
The patient had an excellent recovery in 14 days
His breathing and cough improved completely
No recurrence of symptoms on follow-up
He continues to remain healthy and active
Discussion
Hepatico-broncho-pleural fistula is an exceptionally rare complication of amoebic liver abscess. Early diagnosis, careful stabilization, and advanced surgical expertise are critical to successful outcomes.
This case highlights the importance of multidisciplinary surgical care involving hepatobiliary, thoracic, and gastrointestinal surgery. Minimally invasive and advanced surgical techniques significantly improve patient outcomes in such rare and complex cases.
Conclusion
Rare and life-threatening conditions like hepatico-broncho-pleural fistula can be successfully treated with timely diagnosis and advanced surgery.
With over 25 years of experience in laparoscopic, endoscopic, gastrointestinal, and cancer surgery, I am committed to delivering world-class surgical care to patients in Hubli and beyond.